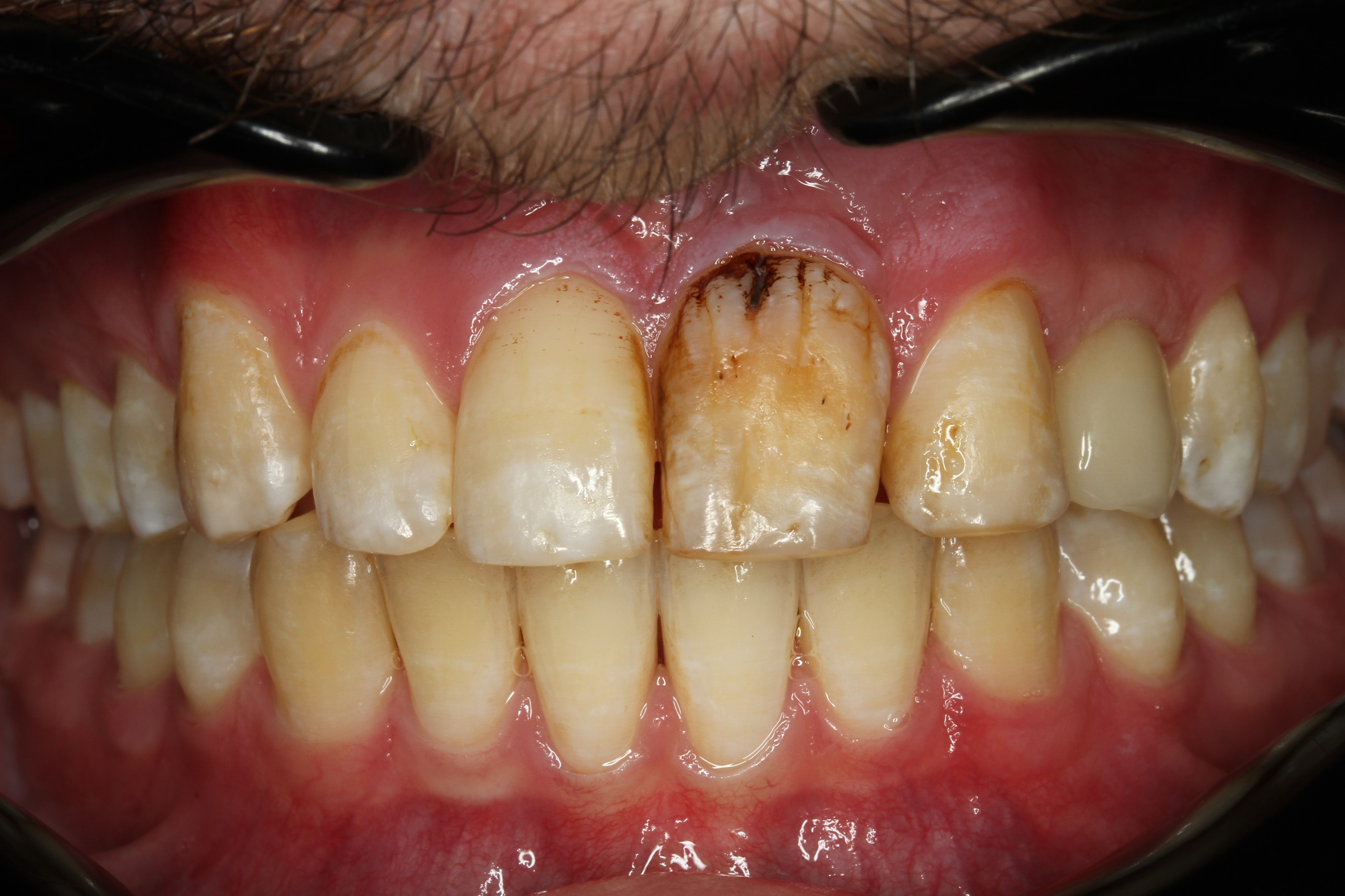
Tmavě zbarvené zuby a defekty skloviny na předních zubech
Stav po komplexním ošetření
Proběhlo bělení zubů a rekonstrukce předních zubů fotokompozitními výplněmi
Výchozí stav před komplexním ošetření zubů
Tmavě zbarvené zuby a defekty skloviny
Stav po komplexním ošetření
Proběhlo bělení zubů a rekonstrukce předních zubů fotokompozitními výplněmi
Výchozí stav před komplexním ošetření zubů
Proběhlo domácí bělení zubů prováděné stomatologem
Stav po komplexním ošetření
Přímé fotokompozitní výplně pro úpravu tvarů předních zubů
Výchozí stav před komplexním ošetření zubů
Pacient před bělením zubů prováděné stomatologem, tmavě zbarvený zub je vývojová anomálie, přání je estetický a harmonický úsměv
Stav po komplexním ošetření
Přímé fotokompozitní výplně pro úpravu tvarů a harmonizaci předních zubů
Výchozí stav před rekonstrukcí předních zubů
Zuby obroušené nevhodným skusem, skus byl upraven pomocí rovnátek před dostavbami
Stav po rekonstrukci z fotokompozitu
Prodloužení a úprava tvaru předních zubů, provedeno v 1 návštěvě. Zuby před dostavbou není třeba nijak brousit nebo je vystavit nějakého poškození a zároveň se jedná o levnější variantu než keramické fazety.
Výchozí stav před komplexním ošetření zubů
Zubní kazy kolem výplní na krčcích zubů, nevyhovující výplně na postranních zubech